In Colombia, the virulence of toxoplasmosis threatens vision
By: María Alejandra López Plazas
Photos: Alejandra de la Torre, Alberto Sierra DOI https://doi.org/10.12804/dvcn_10336.42347_num7
Health and Wellness
By: María Alejandra López Plazas
Photos: Alejandra de la Torre, Alberto Sierra DOI https://doi.org/10.12804/dvcn_10336.42347_num7
Five years ago, a team led by researcher Daniel Ajzenberg from the Faculty of Medicine at the Universidad de Limoges (France) made a groundbreaking discovery about the history of the evolution of the Toxoplasma gondii, a unicellular parasite that causes toxoplasmosis: the strains of this organism that currently exist would have evolved from a South American ancestor that originated around 1.5 million years ago and from there would have spread throughout the world.
That discovery marked in this part of the planet, and especially in Colombia, the place of origin of modern varieties of the parasite that has spread widely throughout the world, turning 33 percent of the world's population into its carriers, most of them completely asymptomatic; nevertheless, 18 percent experience serious damage in their eyes when the parasite infects the inner tissue of this organ and generates serious scars that in the most severe cases can cause blindness.
The same year this study was published in the journal Infection, Genetics and Evolution (2017), Ajzenberg was in Colombia conducting a researchat Universidad del Rosario with MD. Alejandra de la Torre, full professor and coordinator of Immunology at the Neurovitae- UR Neuroscience Center. “He said to me: ‘Today is a very happy day for me because this study was published and I am in the very same place where this parasite originated,’ recalls the ophthalmologist, who points out that this type of discovery has set the eyes of researchers around the world on our country.

Despite the ocular barriers, once the parasite reaches the eye, it remains encysted within the retina for life.
They have been wondering for several years why on this side of the world this disease, which mainly impacts the brain, lymph nodes and eyes, is particularly fierce. A study published in the Bulletin of the World Health Organization (WHO) notes that while the incidence rate in the rest of the world is approximately 1.5 cases of congenital toxoplasmosis per 1000 live births, in South America it is 3.4.
As MD. de la Torre explains, another important fact that scientific studies have provided in the region is the identification in Colombia –a country where the clinical presentation of the disease is usually even more serious– of the circulation of the “atypical strains” of Toxoplasma gondii. To put it in simple terms, the researcher De La Torre proposes an analogy: the traditional varieties would be equivalent to a french poodle breed dog, while the parasites that attack the Colombian population are so aggressive that they can be compared to wolves, which are the most common type of dog in the world.
This is a possible cause of some studies in our country estimating, for example, that retinochoroidal scars caused by the effects of the parasite when attacking the eyes could be present in one million people and cause unilateral blindness in approximately 200000 Colombians. However, experts argue that the incidence of ocular toxoplasmosis in the general population is still unknown.
With the intention of continuing to fill these gaps, and driven by the important findings on the history of the parasite revealed in recent years, researchers from the Universidad del Rosario, the Faculty of Medicine of the Universidad de Ioannina (Greece) and the Department of Ophthalmology of the Birmingham and Midland Eye Center (United Kingdom), led by MD. De la Torre, decided to make a comprehensive review of these and other factors that could be influencing to make this relationship between parasite and host, a more complex one in our territory.
Results published in 2021 in the journal Ocular Immunology and Inflammation revealed details about host-parasite interaction during infection. It is an effort to improve the diagnosis and management of the disease, under the particularities of its development in our country.

“The important thing is not to let the parasite activate so that it damages the retina, and if it does, control it quickly so that the damage is not more severe,” explains Dr. Alejandra de la Torre, a professor at the School of Medicine and Health Sciences at the Universidad del Rosario.
Like Trojan horses
However, how do you get this particular parasite? As defined by the American Academy of Ophthalmology, there are two types of toxoplasmosis, acquired and congenital. Acquired toxoplasmosis requires ingestion of the parasite, which can occur when eating contaminated food, such as undercooked meat or poorly washed vegetables, drinking contaminated water, or coming into direct contact with the organism.
The T. gondii is usually present in the feces of cats, and it can happen that when cleaning the litter box of our pets later we take our hands to the mouth without having washed them properly.
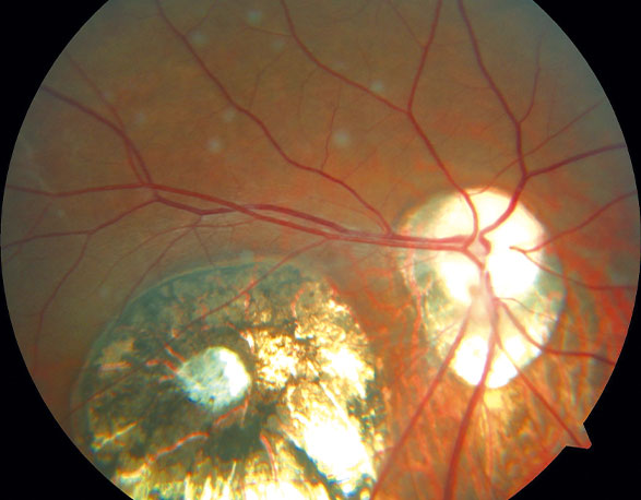
Congenital toxoplasmosis, on the other hand, occurs when transmission occurs from an infected mother to her baby during pregnancy, if she contracts the parasite just before or during pregnancy. This can trigger miscarriages or, if the pregnancy is complete, it can lead to low birth weight, brain involvement, an enlarged liver or spleen, jaundice (yellowing of the skin and eyes), or retinochoroiditis, which refers to the inflammation of the retina and its adjacent layer, the choroid, leading to the formation of scars that deteriorate vision.
Indeed, this inflammation is one of the great concerns of doctors around the development of toxoplasmosis in a patient. “The important thing is not to let the parasite activate so that it damages the retina, and if it does, control it quickly so that the damage is not more severe,” explains MD. De la Torre. Therefore, for health specialists it is key to advance the understanding of the details of how T. gondii acts within affected patients, what causes it to be activated and how the immune system responds to its incursion into the human body.
“We study how the dendritic cells of the intestine, which initially recognize this parasite, are used as a kind of Trojan horse: the parasite gets inside them and they enter a hypermigratory state,” De la Torre explains. This causes them to start traveling: “They go to the lymph nodes, they present that parasite, that foreign antigen to other cells that have memory – the lymphocytes – and these are activated and continue to migrate everywhere. They go through the eye and even try to reach the brain.”
This review, for which an exhaustive bibliographic search was made in the PubMed database and in Google Scholar, is like reviewing previous matches of an adversary to analyze their way of playing, in such a way that better strategies can be drawn to face it or, in this case, a better treatment to manage a disease for which there is still no definitive cure.

“Eating undercooked foods, such as vegetables and meat, or drinking contaminated water are the most common ways the T.gondii microorganism enters our bodies.”
Despite the ocular barriers, when the parasite reaches the eye, it remains encysted throughout life inside the retina. According to what the authors of the study indicate, among the factors that can contribute to the successful action of this parasite is the genetic predisposition, immune status and age; to which are added characteristics of the microorganism such as the diversity of strains, its virulence, phylogenetic origin and geographical distribution.
“The atypical strains that we have in our territory –the wolves– cause a different immune reaction to that produced by the french poodle, or the European and American strains,” De la Torre says. “The cells that are infected begin to activate and send messages through cytokines, proteins that are very important in cell signaling. Soon, they activate others, but when they are infected by the atypical strains, the released cytokines are different and make the immune system inside the eye respond differently.”
The findings of the research provide a basis for reviewing what type of response a virulent strain produces and one that is not, and thus be able to propose mechanisms to block the inflammatory pathways that produce damage to the retina, that is, block the cytokines (the messengers) or try to convert them into something that does not do so much damage.
It was also found that pregnancy, eating behavior and other environmental, social and cultural factors can contribute to maintaining or not maintaining the complex balance that prevents the parasite from becoming active.
Currently, treatment alternatives consist of a management with antibiotics and antiparasitics that fail to eradicate the microorganism once it enters the tissues. “This article is important because we are betting on whether in the future we can manipulate the immune system to prevent that parasite encysted in the tissues of the retina from causing trouble,” de la Torre explains.
The disease in Colombia
In Colombia, epidemiological data on toxoplasmosis are limited. According to the National Institute of Health (INS), this disease is not within which epidemiological monitoring is carried out in the country, so there are no bulletins with specific figures on the number of infected patients. This gap is clear evidence of how little importance is given to the disease as a public health problem.
A study published in 2014, in which a review was made of the 70 immediately previous years dedicated to research on this specific topic, is one of the references of data on prevalence in the country used by experts of the entity.
The research, which was led by the expert William Alberto Cañón-Franco, indicates that although there are several reports on the seroprevalence of T. gondii in the general population –in one of them a global prevalence of 47.1 percent was found, with similar proportions in men (47.9 percent) and women (46.3 percent)– the data are difficult to interpret because in most cases the number of subjects studied is not indicated.
On the ocular effects of the disease, the report, carried out by the Department of Preventive Veterinary Medicine and Animal Health of the University of São Paulo, with the Center for Biomedical Research of the Universidad del Quindío, provides data that serve to give an idea of the context of the disease in the country. For example, in 2005 in Cali, the disease was classified as the second cause of congenital blindness and in Quindío, there were three cases of ocular toxoplasmosis per 100000 inhabitants (2009).
The document provides some indications about the alerts around the virulence of the strains of the parasite circulating in the country, which also review De la Torre and her team. “It was also found that the cytokine profile in Colombian patients with ocular toxoplasmosis was diverted to a Th2 profile; instead, French patients had a Th1 preferential response,” they conclude within the study and add that these results reveal that some Colombian strains cause more severe ocular toxoplasmosis due to the inhibition of the protective function of the body.
In more recent figures, according to data provided by the Ministerio de Salud y Protección Social (Ministry of Health and Social Protection), a total of 12 751 cases of people treated in health services for a main diagnosis of toxoplasmosis were reported in 2020, 14 038 in 2021, 12 453 in 2022 (although these data are preliminary), and so far in 2023, 3 804 have been recorded. An average of 13 000 people per year seek medical services for this infection, which corresponds to 0.02 percent of the national population.
However, it is not just about numbers. Behind the statistics are people who currently have a cure for their disease and who face prophylactic treatment with antibiotics, which although it prevents the parasite from activating to cause more damage, has an impact on the liver that must be monitored. Studies such as that of MD. De la Torre are steps on the way to finding a therapy that improves the quality of life of patients and that responds to the particularities that this pathology has in the country.