Pasar al contenido principal

Editorial

01 | 12 | 17

Editorial: Fin de año con Nova et Vetera

El año 2017 ha sido un año que ha dado de que hablar.

Leer más

Omnia

01 | 12 | 17

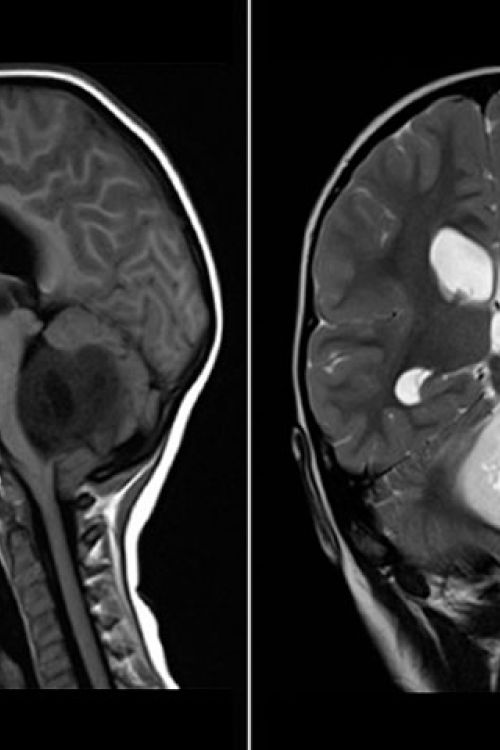
Análisis de intervención interdisciplinaria en niños con tumor de la fosa posterior Analysis interdisciplinary intervention in children with posterior fossa tumor

Resumen

Leer más

Omnia

01 | 12 | 17

Espacios Territoriales de Capacitación y Reincorporación: ¿El fortín político de las FARC?

Abstract

Leer más

Omnia

01 | 12 | 17

Candidatos por firmas o hecha la ley, hecha la trampa.

Abstract

Leer más

Columnistas

01 | 12 | 17

La Muerte De Akenatón y Ondine

La muerte de Akenatón

Leer más

Columnistas

01 | 12 | 17

Perlas de la "Política de la Sandía " en el Cambio Climático ¿Misantropía de un Ambientalismo Extremo?

Hay varios problemas globales a nivel medioambiental y de su entorno institucional del m

Leer más

Editorial

01 | 12 | 17

Eduardo Ramírez Villamizar, El Exhumador de Mitos

Si en un artista puede evidenciarse una vocación hacia el silencio, es en Eduardo Ramírez Villami

Leer más

Columnistas

01 | 12 | 17

La Hora de Lenín en Ecuador

Mientras Venezuela parece colapsar por el ruido del default, con claros efectos políticos inmedia

Leer más